안녕하세요 오늘은 협심증 초기증상에 대해 알아보도록 하겠습니다. 협심증은 대표적인 심장질환 중 한가지로, 순식간에 사망에 이를 수 있는 무서운 질환이에요. 그렇기 때문에 조짐이 있을 때 잘 알아보고 예방하는 것이 중요한데요. 오늘 협심증과 협심증의 초기증상에 대해 알려 드릴테니 잘 봐두셨다가 증상이 나타나진 않는지 살펴보시기 바랍니다.
협심증이란
협심증은 매해 세계에서 100만명 이상이 사망에 이르는 질환입니다. 2017년 한 해만 우리나라 협심증 환자가 60만 명을 넘어서고 있다고 해요. 또 동맥경화증을 악화시키는 고혈압이나 흡연, 당뇨 등으로 인해 빠르며 진행되며 협심증이 되는 기간은 약 20~30년 정도로 50대 이상에서 협심증이 가장 많이 생기게 돼요.
가슴이 좁아지는 듯한 느낌과 통증을 느끼기 때문에 협심증이라 불러요. 협심증은 심장에 혈액을 공급해주는 관상 동맥이 좁아져 충분한 혈액공급이 이루어지지 않아 발생되는 가슴통증을 말하는 질환인데요. 관상동맥이 좁아지는 동맥 경화증은 20대 초반부터 시작되며 혈관이 약 70% 이상 좁아지면 협심증 증상이 발생하게 됩니다.






협심증이란 관상동맥에 경화가 일어나면서 발생하는 증상인데요. 동맥경화는 혈관에 지방 등이 쌓이면서 혈관이 좁아지게 되어 혈관 탄력성을 잃게 되는 것입니다. 혈관이 심장이 뛰는 것에 맞춰서 확장과 수축을 반복하면서 혈류가 이동하게 되는데 이 때 혈관에 플라크가 지방이 축적이 되면 혈류의 이동에 방해를 받게 된다고 해요.






협심증 초기증상 1 가슴 압박감
흉부 부근에 압박감이 나타나는 것이 대표적인 협심증 초기증상이라고 해요. 호흡곤란이나 흉통 증상의 경우 수분 정도 지속되다가 다시 없어지는 경우도 있다고 하네요. 보통은 날이 추운 겨울철이나 과도한 활동 시에 심장에 산소가 많이 필요한 상황이 되면 협심증 초기증상을 경험하게 돼요. 보통 가슴 가운데에 압박감이 느껴지며 답답한 느낌을 느끼고 호흡이 힘들어질 수도 있어요.
이런 협심증 초기증상들은 운동을 한 경우 혹은 무거운 물체를 옮기는 등의 과도한 활동이 있을 경우에 발생할 가능성이 많다고 해요. 흉통이나 호흡이 힘든 증상이 심각해져서 이것이 팔이나 목 등의 신체 부위로 통증이 번질 수 있다고 해요. 이런 협십증 초기증상이 계속된다면 검진 받는 것을 추천드려요.






협심증 초기증상 2 호흡 곤란
협심증으로 인해 숨이 차는 현상이 나타날 수 있어요. 이는 심장에서 몸 전체로 산소를 운반하는 역할이 잘 안되면서 체내에 산소가 부족해지므로 생기는 증상이라고할 수 있어요. 가슴 한 가운데서 시작되어 압박이 될 수 있으며 답답한 느낌과 같이 심각해지면 호흡 곤란을 경험하기도 해요.
협심증 초기증상 3 소화장애
협심증으로 인해 소화 장애가 동반될 수 있다고 해요. 속이 쓰리거나 메스꺼운 느낌이 들면서 소화 기능이 저하되는 등의 증상이 나타날 수 있다고 해요.. 가슴이 타는 듯한 통증에서 시작돼서 가슴답답한 느낌이 들면서 소화 기능까지 영향을 미치게 됩니다. 심해질 경우에는 복통과 구토 증상이 동반되기도 하며 이런 경우 수분을 많이 섭취하고 증상이 완화될 때까지 충분한 휴식을 할 수 있도록 해야 해요.






협심증 초기증상 4 안정형 협심증
안정형 협심증은 보통 과격한 운동을 하다가 발생하는 증상이며 이것이 3분가량 통증이 지속되다가 다시 안정화되며 통증이 완화되는 것이 특징인데요. 이럴 때는 과격한 운동을 할 때 심장에 공급되는 혈액이 더 많이 공급되어야 할데 관상 동맥의 안쪽지름이 좁아지면서 혈액이 제대로 공급되지 못하고 심장 통증, 빈혈 등을 발생시키는 것인데요. 특히 날이 춥거나 식사 하고 난 바로 다음에 운동하실 때 발생 가능성이 올라가게 되니 주의하시기 바래요.
협심증 초기증상 5 현기증
협심증 초기증상 7번째는 현기증인데요. 현기증 역시 바로 협심증을 의심하기에는 힘든 것이 사실인데요. 아무래도 현기증은 급작스럽게 발생한 경우 혹은, 너무 오랜 기간 서있었을 때 나타날 수 있는 증상이라서 가볍게 넘기기 쉬습니다. 하지만 이런 현기증은 협심증 초기 증상 중 한가지인지라 다른 증상과 함께 고려하시길 바래요.






협심증 초기증상 6 가슴 통증
가장 흔히 발생하는 협심증 초기 증상은 가슴 통증인 흉통인데요. 가슴의 정중앙이나 약간 좌측 부위에서 주로 나타나고 가슴에 쥐어짜는 듯한 통증이나 가슴이 쌔한 느낌이 드는데 가슴 통증 이외에도 명치가 아프거나 턱끝이 아프다고 하는 경우도 있고, 위 부분이 아픈 경우도 있어요.
이런 통증은 보통 3분에서 10분 정도 지속되고 사라지게 됩니다. 1번만 발생하는 경우도 있지만 반복되는 경우가 많으며 30분 이상 길게 지속되는 경우도 있다고 하니 참고하시기 바래요.






협심증 초기증상 7 턱 통증
협심증 초기증상 4번째는 턱 통증인데요. 일반적으로 협심증 증상과 턱 부위 통증과 관련짓기가 어렵습니다. 하지만 우리 몸은 다양한가 다양하게 연결되어 있으므로 몸의 한 부분에 문제가 발생하게되면 다른 곳에서 증상을 느낄 수도 있어요.
협심증 역시도 흉통과 연관해서 턱에서 통증이 느껴질 수 있 다고 알려져 있어서 만약에 턱에서 원인 모를 통증이 나타날 경우 마찬가지로 심장마비 혹은 협심증을 의심해보셔야 해요.






협심증 초기증상 8 메스꺼움
협심증이 있는 일부의 사람들은 메스꺼움이나 소화불량을 경험할 수 있어요. 그런데 메스꺼움의 경우 다른 질환의 초기증상에서도 많므로 협심증 초기증상이라기 보다는 위산의 역류나 속 쓰림과 같은 다른 조건으로 오인할 수 있는 점을 주의하셔야 해요.






협심증 초기증상 9 실신
순식간에 실신을 하던가 심장마비까지 증상이 나타날 수 있어 위험하답니다. 협심증은 일반적으로 망가지게된 동맥이 인체의 곳곳 부분에 혈전을 만들고 있어 심장으로 가는 혈액의 흐름을 막아주면서 발생해요. 이런 일이 발생하지 않도록 하기 위해서는 규칙적인 운동을 하고 가능한 금연 및 음주를 하지 않는 것이 중요해요.
협심증 초기증상 10 심박수 증가
협심증이 발생하다 보면 심장에서 심박수가 증가되는 현상이 나타날 수 있다고 해요. 하지만 이것은 협심증을 해결하기 위한 증상일 수 있어요. 심장에서 혈액을 원활하게 공급하기 위하여 혈액을 펌핑하는 속도를 높이려고 하기 때문이라 보시면 될 거 같아요.






협심증 치료방법
환자의 상태에 따라 약물치료, 시술 및 수술 등의 치료를 할 수 있어요. 협심증이 심각한 경우 혹은 약물 치료에도 반응하지 않을 때는 관상 동맥 우회술 혹은 관상 동맥 성형술과 같은 다른 선택이 권장될 수 있어요. 환자 개개인에게 제일 적당한 치료 계획을 결정하기 위해서는 꼭 의사와 상담하는 것이 중요해요.
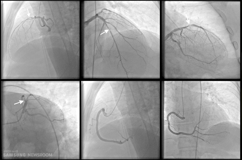
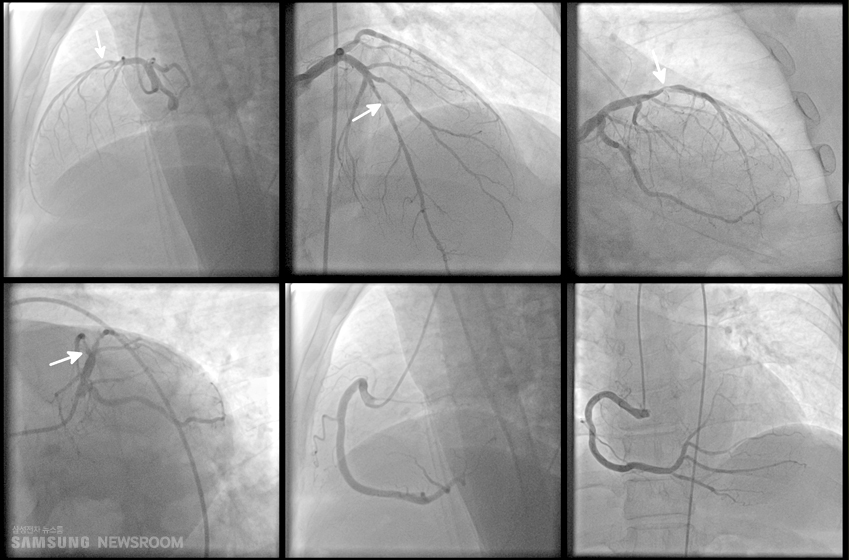
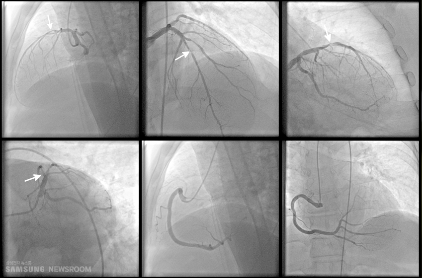
약물 치료의 경우에는 협심증의 원인인 동맥 경화증을 예방하고 진행을 막는 치료법이며, 협심증에 의해 혈관이 80% 이상 좁아져 있어서 심장 시술이나 수술이 필요하게 될 때 스텐트 시술, 풍선 확장술 및 관상 동맥 우회로술 등의 수술을 하는 것인데요.
협심증 초기증상이 있다가 없다가를 반복하며 병원에 방문하려다가 또 증상이 없어서 방치하다 보면 질환이 더욱더 심각해질 수 있어요. 특히나 관상동맥 혈관이 80% 이상 좁아지기 전까지는 심장초음파 검사에서는 정상이라고 진단받는 경우가 많기 때문에 보다 정밀한 검진을 위한 관상 동맥 질환에 특화된 검진을 받는 것이 필요해요.






협심증 치료에 있어서는 약물 치료와 시술 및 수술도 중요하겠지만 제일 중요한 것은 협심증을 예방하기 위한 본인의 노력이 제일 중요해요. 만약 성인병을 갖고 있으면 의사와 상의하셔서 약물 치료 및 꾸준한 운동 과 식단조절 등의 생활 습관을 완화하도록 먼저 노력하셔야 해요.
그리고 협심증의 경우 나이가 들면서 자연스럽게 그 발생률이 올라가게 되므로 만 40세를 넘기게되면 위험 인자 관리와 심혈관 검진을 정기적으로 받아보셔야 하는 점 잊지 마시기 바래요. 이제까지 협심증 초기증상 및 협심증 치료방법에 대해 알려드렸어요.감사합니다.